
Hello, this is Yonsei JW Dental Clinic in Daechi-dong, Gangnam, Seoul.
Since the mandatory mask-wearing was lifted after the COVID-19 pandemic, interest in appearance has been increasing. Particularly, with more outdoor activities and private gatherings, sales of color cosmetics such as lipsticks and blushes have risen, as reported in the news. Additionally, there has been a growing interest in issues like bad breath and teeth whitening, which had received less attention during the mask-wearing period.

Effects of Teeth Whitening
These days, there are many whitening products available for at-home use, but caution must be taken with at-home whitening methods that have not been verified, as they come with risks and potential side effects. If there are broken parts of the teeth, cavities, or gum disease, the whitening agents can cause damage to the teeth or gums.

Causes of Tooth Discoloration
There are various causes for tooth discoloration. The most common reason is aging, where the enamel, which is the outer layer of the teeth, wears down and becomes thinner, revealing the underlying dentin, which appears yellowish.
Taking tetracycline antibiotics by children under the age of 12, or during pregnancy and breastfeeding, can cause the teeth of the fetus to become discolored to a grayish color (discoloration caused by tetracycline cannot be treated with whitening).
Additionally, if a tooth experiences physical trauma, the blood vessels inside the tooth can be damaged, leading to sudden changes in color. Moreover, frequent consumption of pigmented foods and beverages such as coffee, green tea, wine, curry, and cola, as well as staining from tar and nicotine due to smoking, can also lead to tooth discoloration.
Evaluation of Tooth Color
When you visit the dental clinic for teeth whitening, a comprehensive oral examination and full scaling will be conducted first. If you have cavities or chipped teeth, or if there is inflammation around the teeth, treatment for cavities and gum issues must be performed before proceeding with whitening.
If there is cervical wear or if there are existing resin fillings in the teeth, there may be differences in tooth color after whitening, so caution is advised.
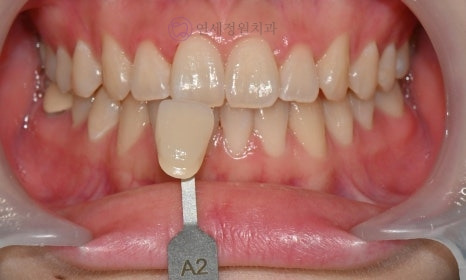
Before starting the teeth whitening process, the color of your teeth will be assessed. A shade guide will be used to record the tooth color; the shade guide is a specific indicator that expresses the degree of lightness or darkness of the teeth in stages. As the letters increase numerically, the color becomes darker. Tooth colors are classified into 16 stages, ranging from B1 to C4 (B1-A1-B2-D2-A2-C1-C2-D4-A3-D3-B3-A3.5-B4-C3-A4-C4). The closer to B1, the brighter the natural tooth color, and the closer to C4, the darker the color.

Shade Guide
A and B are generally closer to average tooth colors and are frequently used clinically, while C represents a darker shade with gray undertones. D is more common among Caucasians and relatively less common among Asians.
- A: Orange (Brownish tones)
- B: Yellow Orange (Yellowish tones)
- C: Blue Orange, Greyish Orange (Grayish tones)
- D: Reddish Grey, Pink Orange (Reddish tones)
Korea's Best Dental Clinic for Teeth Whitening from $138
Looking for a fast, safe, and effective way to brighten your smile during your visit to Korea? At Yonsei JW Dental Clinic in Gangnam, Seoul, we specialize in professional teeth whitening that delivers real results — with comfort, care, and confidence.
yonseijwdental.tistory.com
Procedure for Teeth Whitening
- The patient wears a retractor to protect the gums and cheeks, and safety glasses are provided to shield the patient from the light source.
- The teeth are isolated, and a dam (gingival protector) is formed to protect the gums while gauze is placed for moisture control.
- The whitening gel is applied to the teeth, and the light source is activated to enhance the whitening agent.
- After performing laser treatment for three cycles of 15 minutes each, the whitening gel and gingival protector are removed, and the area is rinsed thoroughly with water.

Effects of Teeth Whitening
When you visit the dental clinic for teeth whitening, a comprehensive oral examination and full scaling will be conducted first. If you have cavities or chipped teeth, or if there is inflammation around the teeth, treatment for cavities and gum issues must be performed before proceeding with whitening.
![]() |
![]() |
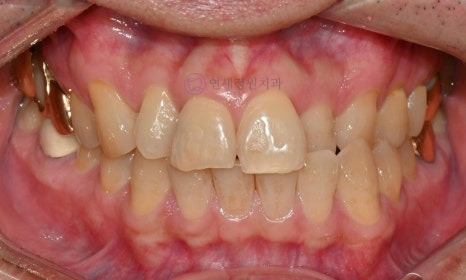
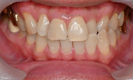
Before and After
![]() |
![]() |
Before Shade: A3.5 / After Shade: A2
![]() |
![]() |
Before Shade: A2 / After Shade: B1
Post-Whitening Treatment Precautions
- Inflammation of the gums may temporarily occur during whitening treatment, but it will return to normal once the whitening agent is removed.
- Please refrain from smoking or consuming staining beverages (such as green tea, coffee, cola, wine, curry, orange juice, etc.) for at least 48 hours after the whitening procedure.
- During the whitening period, some teeth may appear unnaturally white. This is a temporary phenomenon caused by differences in tooth density in various areas of the same tooth and will return to normal after the whitening treatment concludes (1-2 weeks).
- Teeth may experience temporary sensitivity due to an allergic reaction to the whitening agent, but this will naturally subside within 1-7 days. During this period, avoiding very hot or cold foods may help. If sensitivity persists for more than a week or if there is pain, please visit your dentist.
- Since teeth may be sensitive during the whitening treatment, use a toothpaste specifically designed for sensitivity instead of regular toothpaste.
Teeth whitening is not a permanent solution; teeth will gradually become discolored again. After treatment, it is important to avoid foods and habits that can stain your teeth, such as smoking, and to brush with toothpaste that contains whitening ingredients to maintain the brightness of your teeth for a longer time. Using a straw when drinking can also help prevent discoloration after whitening. Additionally, it is recommended to visit the dentist for a touch-up every 6 to 12 months after teeth whitening to maintain results.
One-day Teeth Whitening @ Yonsei JW Dental Clinic
Hello, this is Yonsei JW Dental Clinic, If you have bright and healthy teeth, you can regain your natural beautiful smile, and your confidence will grow even more. This is one of the reasons why there is increasing interest in orthodontics and aesthetic
jwdental.tistory.com
Steps for One-Day Teeth Whitening @ Yonsei JW Dental Clinic
Hello, this is Yonsei JW Dental Clinic in Daechi-dong, Gangnam, Seoul, Korea. Recently, many patients have been coming in for teeth whitening treatments, and it is one of the most satisfying procedures for patients. Clean, bright teeth are a key factor in
jwdental.tistory.com
Dutch Couple Gets Teeth Whitening in Seoul, Korea @ Yonsei JW Dental Clinic
Hello, this is Yonsei JW Dental Clinic in Daechi-dong, Gangnam, Seoul. Last week, we had some special patients visit our clinic. A couple from the Netherlands, who were touring Korea, came in for teeth whitening. They were staying at a hotel near Myeongdo
jwdental.tistory.com
Located next to the BMW building
(across from Starbucks/Samsung Store)
Convenient and free parking available
For consultations and inquiries: 02-501-2879
연세정원치과 Yonsei JW Dental Clinic · 서울특별시 강남구 도곡로 541 3층
★★★★★ · 치과의사
www.google.com
'Teeth Whitening' 카테고리의 다른 글
| 피터 빈트의 연세정원치과 방문기 (4) | 2025.08.04 |
|---|---|
| Teeth whitening promotions @ Yonsei JW Dental Clinic (1) | 2024.10.15 |
| Dutch Couple Gets Teeth Whitening in Seoul, Korea @ Yonsei JW Dental Clinic (1) | 2024.10.10 |
| One-Day Teeth Whitening Procedures @ Yonsei JW Dental Clinic (1) | 2024.10.10 |
| One-day Teeth Whitening @ Yonsei JW Dental Clinic (1) | 2024.10.09 |










